โรคหัวใจแมว (HCM) – สาเหตุ อาการ การตรวจรักษาอย่างละเอียด สำหรับสายพันธุ์เสี่ยง - DogThailand | ที่พักหมาแมวพักได้ทั่วไทย รวมโรงแรมและรีสอร์ต Pet Friendly Thailand

โรคหัวใจแมว (HCM) – สาเหตุ อาการ การตรวจรักษาอย่างละเอียด สำหรับสายพันธุ์เสี่ยง

โรคหัวใจแมว (HCM) – สาเหตุ อาการ และการวินิจฉัย

โรคหัวใจแมว (Heart Disease in Cat)

โรคหัวใจแมว (Heart Disease in Cat)

          โรคกล้ามเนื้อหัวใจหนา (Hypertrophic cardiomyopathy ; HCM) เป็นภาวะหัวใจผิดปกติที่พบบ่อยในแมว โดยเฉพาะแมวสายพันธุ์ Maine coon และ Ragdoll.  โรคหัวใจแมวที่พบบ่อยที่สุดคือ HCM (กล้ามเนื้อหัวใจหนาตัว) ซึ่งอาจไม่แสดงอาการเลย ตรวจด้วย X-ray, Echo, NT-proBNP เพื่อวินิจฉัยได้เร็วขึ้น
           โรคหัวใจในแมว โดยเฉพาะชนิดกล้ามเนื้อหัวใจหนาตัว (HCM) เป็นโรคเงียบที่พบบ่อยในแมวหลายสายพันธุ์ เช่น Maine coon และ Ragdoll โดยแม้มักไม่มีอาการชัดเจน แต่สามารถตรวจพบได้ด้วยการทำ Echo หรือ NT-proBNP หากตรวจพบเร็วจะช่วยป้องกันภาวะหัวใจล้มเหลวหรือเสียชีวิตกะทันหันได้ มาอ่านบทความดีดีกัน

         ความผิดปกติของกล้ามเนื้อหัวใจในน้องแมวที่พบบ่อยที่สุดคือ โรคกล้ามเนื้อหัวใจหนาตัวมากกว่าปกติ เรียกว่า Hypertrophic cardiomyopathy (HCM) คือ ทำให้เกิดความผิดปกติไปทั้งโครงสร้างและการทำงานของหัวใจ ทำให้ผนังหัวใจห้องล่างซ้ายหนาตัว โดยไม่พบการขยายตัวของห้องหัวใจ

         แมวที่เกิดภาวะหัวใจล้มเหลวหลายตัวมีภาวะความผิดปกติของโรคหัวใจนี้แต่ไม่แสดงอาการ มักไม่มีอาการที่เฉพาะสำหรับบ่งบอกว่าเป็นโรคหัวใจ มีเพียงอาการทางคลินิกที่พบได้ทั่วไป เช่น ซึม ทานอาหารหรือความอยากอาหารลดลง อาเจียน แสดงการหายใจหอบ หรือหายใจลำบาก

         อย่างไรก็ตามแมวส่วนมากที่เป็นโรคหัวใจชนิดนี้อาจจะไม่มีการแสดงอาการทางคลินิกใดเลย ทำให้การวินิจฉัยโรคหัวใจชนิดนี้ตรวจพบได้ยาก ซึ่งหากมีการทำวางยาสลบเพื่อผ่าตัดทำหมัน หรือทำหัตถการอื่นๆที่มีผลต่อระบบการหายใจ ระบบหลอดเลือดและหัวใจ มีการกระตุ้นให้เกิดความเครียดอื่นๆ เช่น การบังคับ การอาบน้ำ (โดยที่แมวขัดขืน ดิ้น หรือ หายใจหอบ) ก็อาจส่งผลทำให้เกิดภาวะหัวใจล้มเหลวและเสียชีวิตได้ หรือหากมีอาการรุนแรง ในบางตัวจะแสดงออกได้ในภาวะหัวใจล้มเหลว (heart failure) น้ำท่วมปอด และบางรายพบภาวะลิ่มเลือดอุดตัน (systemic arterial thromboembolism) ซึ่งเป็นอันตรายถึงแก่ชีวิต

แมวป่วยโรคหัวใจ
นอกจากนี้ มีการศึกษาเพิ่มเติมพบว่าในน้องแมวบางสายพันธ์ ลักษณะเฉพาะคือกล้ามเนื้อหัวใจหนาตัวขึ้นและอ่อนแรงลงทีละน้อย โดยยังไม่ทราบสาเหตุของการเกิดโรคอย่างแน่ชัด มีการค้นพบการ mutation ของยีนชนิด myosin-binding protein C mutation (MyBPC) ทำให้เกิดโรคหัวใจชนิด HCM ในแมวสายพันธุ์ Maine coon และ Ragdoll (มีความเสี่ยงต่อการเกิดโรคกล้ามเนื้อหัวใจ โดยที่โครงสร้างและการทำงานยังปกติ)

การตรวจร่างกาย ฟังเสียงหัวใจอย่างเดียวในแมวอาจไม่สามารถแยกภาวะโรคหัวใจหรือกล้ามเนื้อหัวใจผิดปกติได้ การวินิจฉัยจึงต้องมีการตรวจวินิจฉัยด้วยเครื่องมือื่นๆร่วม เช่น การถ่ายภาพรังสีช่องอก (chest X-ray), การทำเอคโค่ หรือ echocardiography รวมไปถึงการตรวจ Cardiac biomarker NT-proBNP เพื่อการวินิจฉัยที่สมบูรณ์ รวมถึงการรักษาที่ทันท่วงที ซึ่งการตรวจแต่ละแบบมีความแตกต่างกันออกไป

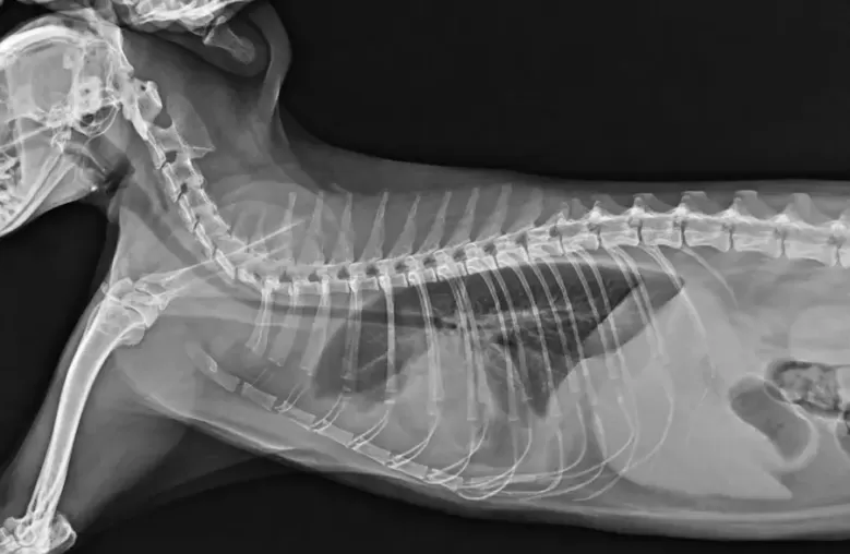
การตรวจโดยเครื่องเอกซเรย์ การถ่ายภาพรังสี
(Digital X-ray)

โรคหัวใจแมว (HCM)

โรคหัวใจแมว (HCM)

การถ่ายภาพช่องอกด้วยรังสีเอกซ์ใช้ในการตรวจวินิจฉัย ภาวะต่างๆ เกี่ยวกับทรวงอก อวัยวะภายใน และโครงสร้างข้างเคียง การถ่ายภาพรังสีทรวงอกเป็นการถ่ายภาพรังสีที่บ่อยที่สุดอย่างหนึ่ง และช่วยในการวินิจฉัยโรคและภาวะต่างๆ ได้หลายอย่างเช่นเดียวกับการตรวจอื่นๆ

โดยเฉพาะหากเกี่ยวข้องกับระบบทางเดินหายใจ ระบบหลอดเลือดและหัวใจ เช่นภาวะโรคหัวใจ ถุงลมโป่งพอง ภาวะน้ำท่วมปอด ปอดติดเชื้อ น้ำท่วมเยื่อหุ้มปอด มะเร็ง รวมถึงภาวะอุบัติเหตุอื่นๆที่อาจมีผลต่อซี่โครงหัก หรือภาวะเลือดออกในปอด ซึ่งจะเป็นวิธีการที่วินิจฉัยได้รวดเร็ว

ภาพ x-ray ระบบ Digital หัวใจแมว
การตรวจหัวใจด้วยเครื่องสะท้อนเสียง (Echocardiogram)
หรือ อัลตราซาวน์หัวใจ คือ การส่งคลื่นความถี่สูงที่มีความปลอดภัยต่อร่างกาย เข้าไปยังบริเวณทรวงอก  ผ่านอวัยวะต่างๆ และจะเกิดสัญญาณสะท้อนกลับ ระบบจะนำพาข้อมูลที่สะท้อน ไปประมวลผลเป็นภาพ แสดง รูปร่าง ขนาด และการทำงานของกล้ามเนื้อหัวใจ และลิ้นหัวใจได้อย่างชัดเจน การตรวจหัวใจด้วยคลื่นความถี่สูง เป็นประโยชน์อย่างมาก สำหรับการประเมินการทำงานของหัวใจ การบีบตัวคลายตัวของกล้ามเนื้อหัวใจ ลิ้นหัวใจ เยื่อหุ้มหัวใจ เป็นต้น

จะใช้ระยะเวลาการตรวจอยู่ที่ประมาณ 20-30 นาที โดยต้องอาศัยความร่วมมือจากแมว เนื่องจากการตรวจต้องนอนตะแคงเพื่อทำการตรวจเป็นระยะเวลาหนึ่ง ดังนั้นหากแมวมีภาวะหายใจเหนื่อยหอบ หรือยังอยู่ในภาวะหายใจกระแทก วิธีการตรวจนี้อาจทำในภายหลัง

เอคโค่หัวใจสามารถบ่งบอกอะไรได้บ้าง
  • ประเมินผลของขนาดหัวใจ ว่ามีภาวะห้องหัวใจโตหรือมีภาวะกล้ามเนื้อหัวใจหนาตัว
  • ดูจังหวะและลักษระการบีบและคลายตัวของกล้ามเนื้อใจได้
  • ดูลิ้นหัวใจหนาตัว ตีบ หรือการรั่วของลิ้นหัวใจได้
  • ดูการไหลเวียนของเลือดในหัวใจ ความเร็ว และแรงดัน
  • ดูก้อนเนื้อ ลิ่มเลือดอุดตัน ในหัวใจ
  • ตรวจดูความผิดปกติของเยื่อหุ้มใจ



การใช้ Cardiac Biomarker (NT-proBNP)
         ในภาวะปกติ ProBNP จะถูกสร้างขึ้นเพื่อทำหน้าที่ช่วยรักษาสมดุลจากการที่กล้ามเนื้อหัวใจมีการยืดตัวออก โดยจะช่วยทำให้หลอดเลือดขยายตัว และมีฤทธิ์ขับปัสสาวะอย่างอ่อน ซึ่งปริมาณของเอนไซม์จะเพิ่มขึ้นตามความรุนแรงของความเสียหายของหัวใจ หรือตามการขยายขนาดของหัวใจเพิ่มมากขึ้น
การยืดหรือการเปลี่ยนแปลงโครงสร้างของกล้ามเนื้อหัวใจ จะทำให้ ProBNP ถูกตัดออกเป็น 2 ส่วน ได้แก่ NT-ProBNP และ C-BNP โดย NT-ProBNP จะมีระยะเวลาการคงตัวในกระแสเลือดยาวนานกว่า ทำให้นิยมตรวจหาปริมาณ NT-Pro BNP เป็นหลัก
        ข้อดีของการตรวจวิธีนี้คือ ทำได้ค่อนข้างง่าย ตรวจได้รวดเร็ว ทำให้ง่ายต่อการจัดการและเฝ้าระวัง ในแมวกลุ่มพันธุ์ที่มีความเสี่ยงที่จะเป็นโรคหัวใจ เช่น Maine coon และ Ragdoll สัตวแพทย์จะแนะนำให้ทำการตรวจก่อนทำการผ่าตัด จะช่วยทำให้สามารถพบความผิดปกติได้ตั้งแต่ระยะเนิ่นๆ รวมถึงช่วยประเมิน การป้องกัน และช่วยลดความเสี่ยงที่อาจจะเกิดภาวะหัวใจล้มเหลวได้


บทสรุป
โรคหัวใจแมว (HCM) เป็นภาวะที่อันตรายแม้ในแมวที่ดูสุขภาพดี การตรวจเชิงลึกด้วย Echo และ NT-proBNP โดยเฉพาะในสายพันธุ์เสี่ยง เช่น Maine coon และ Ragdoll สามารถช่วยชีวิตแมวได้อย่างแท้จริง หากคุณกำลังวางแผนทำหมันหรือมีแมวที่ดูอ่อนแรง ซึม หรือหายใจผิดปกติ ควรปรึกษาสัตวแพทย์เพื่อตรวจหัวใจตั้งแต่เนิ่น ๆ

โรคหัวใจแมว, HCM, โรคกล้ามเนื้อหัวใจหนาแมว, Hypertrophic cardiomyopathy, แมวหายใจหอบ, การตรวจหัวใจแมว, Echo หัวใจแมว, NT-proBNP แมว, Maine coon, Ragdoll
ที่มา www.darinpethospital.com


ขออภัย! คุณไม่ได้รับสิทธิ์ในการดำเนินการในส่วนนี้ กรุณาเลือกอย่างใดอย่างหนึ่ง เข้าสู่ระบบ | สมัครสมาชิก

รายละเอียดเครดิต

กระทู้แนะนำ

กระทู้ยอดนิยม

โทรศัพท์มือถือ|รายชื่อผู้ถูกระงับบัญชี| dogthailand.net

Powered by Discuz! X3.5© 2001-2025 Comsenz Inc.

เว็บ dogthailand.net แนะนำที่พักที่เที่ยวหมาแมวพักได้ ทั่วประเทศไทย