ดูความซนเจ้าหมา พอเอ็กซเรย์กระเพาะของสุนัข กลับพบสิ่งประหลาด เข้าไปอยู่ในท้องได้งัย ? - DogThailand | ที่พักหมาแมวพักได้ทั่วไทย รวมโรงแรมและรีสอร์ต Pet Friendly Thailand

ดูความซนเจ้าหมา พอเอ็กซเรย์กระเพาะของสุนัข กลับพบสิ่งประหลาด เข้าไปอยู่ในท้องได้งัย ?

5094 0 admin โพสต์ 2015-4-30 15:02:56
โดยทางเว็บไซต์ทเวนตี้มินูทเท็น ของสวิตเซอร์แลนด์ ได้เผยแพร่ภาพเอ็กซเรย์ภายในท้องของสัตว์เลี้ยงหลากหลายชนิดด้วยกัน ซึ่งแต่ละภาพนั้นชวนให้สยดสยองเป็นอย่างมากเลยทีเดียว
97154_full.jpg

เพราะเมื่อแพทย์เห็นฟิล์มเอ็กซเรย์ก็ถึงกับผงะ และช็อคไปเลยทีเดียว จนต้องรับทำการล้างกระเพาะอาหารให้กับสัตว์เลี้ยงเหล่านี้อย่างเร่งด่วนทันที เเนื่องจากในกระเพาะของสัตว์เลี้ยงเหล่านี้เต็มไปด้วยสิ่งแปลกปลอมมากมาย ที่ไม่น่าเชื่อว่า "จะกินได้...?" นั่นเอง จะมีอะไรบ้าง ไปดูกันเลย

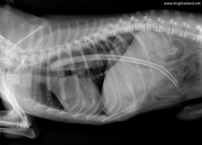
6363eb698e863e44c88b00df0be15f29.jpg

1. ภาพเอกซเรย์ภายในท้องของสุนัขพันธุ์แจ็ค-รัสเซล ที่มี "มีดหั่นขนมปัง"



a8be4ea0cac78317c25f1a26f3c43778.jpg


2. ภาพเอกซเรย์ภายในท้องของสุนัขพันธุ์พิทบูล ที่กลืน "มีดสั้นปอกผลไม้"



e53abfb6a95aa9e70a83de2969947bc1.jpg


3. ภาพเอกซเรย์ภายในท้องของสุนัขตัวหนึ่ง ที่มีชิ้นส่วนของ "เครื่องเล่นเกมเพลย์สเตชัน" อยู่ในนั้น



ece19f3aa919cb948f0a7ddae27650bb.jpg


4. ภาพเอกซเรย์ภายในท้องของสุนัขตัวหนึ่งที่กลืน "แท่งกระดูกยาว 30 เซนติเมตร"  



cd7211888de2597fad6a202e5ca5ac33.jpg


5. ภาพเอกซเรย์ภายในท้องของสุนัขตัวหนึ่ง ที่มี "ถุงเท้านักเรียนมากถึง 43 คู่"




c4c325bffa760e5734d8f99b196839b4.jpg



6. ภาพเอกซเรย์ภายในท้องของสุนัขตัวหนึ่ง ที่มี "เศษไม้เกาหลัง"






7. ภาพเอกซเรย์ภายในท้องของสุนัขตัวหนึ่ง ที่เต็มไปด้วย "เชือก"
ขออภัย! คุณไม่ได้รับสิทธิ์ในการดำเนินการในส่วนนี้ กรุณาเลือกอย่างใดอย่างหนึ่ง เข้าสู่ระบบ | สมัครสมาชิก

รายละเอียดเครดิต

กระทู้แนะนำ

กระทู้ยอดนิยม

โทรศัพท์มือถือ|รายชื่อผู้ถูกระงับบัญชี| dogthailand.net

Powered by Discuz! X3.5© 2001-2025 Comsenz Inc.

เว็บ dogthailand.net แนะนำที่พักที่เที่ยวหมาแมวพักได้ ทั่วประเทศไทย